หน้าแรก
ตรวจหวย
เว็บบอร์ด
ควิซ
Pic Post
แชร์ลิ้ง
หาเพื่อน
Chat
หาเพื่อน Line
หาเพื่อน Team
Page
อัลบั้ม
คำคม
Glitter
เกมถอดรหัสภาพ
คำนวณ
การเงิน
ราคาทองคำ
กินอะไรดี
ข้อตกลงการใช้บริการ
นโยบายความเป็นส่วนตัว
นโยบายเนื้อหา
นโยบายการสร้างรายได้
About Us
ติดต่อเว็บไซต์
แจ้งเนื้อหาไม่เหมาะสม
เว็บบอร์ด
บอร์ดต่างๆ
ค้นหา
ตั้งกระทู้
บอร์ด
สาระ เกร็ดน่ารู้
ตั้งกระทู้ใหม่
กระทู้ทั้งหมด
งานที่เอไอยังแย่งไปจากมนุษย์ไม่ได้
โดย
เงิน ทอง หุ้น การลงทุน ความร่ำรวย
(ตอบ 5, 2Y)
เมืองโบราณเดลฟี่ (Archaeological Site of Delphi)
โดย
ท้าวขี้เมี่ยง ดังปึ่ง
5 คณะที่เรียนยากที่สุดในมหาวิทยาลัย!
โดย
ฮามิดา บานู เบกุม พระมารดา ของกษัตริย์อัคบาร์ผู้ยิ่งใหญ่😱😱😱
โดย
ท้าวขี้เมี่ยง ดังปึ่ง
จังหวัดของไทยที่มีพรมแดนติดกับประเทศลาว
โดย
เงิน ทอง หุ้น การลงทุน ความร่ำรวย
(ตอบ 2, 2Y)
โดนสัตว์ไม่ทราบชนิดกัด ช่วงแรกปวดบวม ผ่านไปไม่กี่วันเสียชีวิต
โดย
teetete
(ตอบ 4, 2Y)
ทลายเสาสัญญาณเถื่อนฝั่งประเทศเพื่อนบ้าน ต้นตอของแก๊งคอลเซ็นเตอร์
โดย
sairung11
(ตอบ 2, 2Y)
หนุ่มเข้าวิวาห์สุดชื่นมื่น เจ้าสาวไม่ใช่ใครอื่น แต่เป็นแม่เพื่อนสนิท
โดย
sairung11
(ตอบ 2, 2Y)
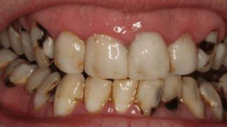
ฟันสาววัย 22 เหตุจากดื่มเครื่องดื่มที่หลายคนชื่นชอบ แทนน้ำมานานกว่า 1 ปี
โดย
sairung11
(ตอบ 3, 2Y)
จังหวัดที่ประชากรน้อยที่สุดในประเทศไทย
โดย
แบกเป้
สัตว์โลกน่าสนใจ : ไก่ฟ้าสีทอง ไก่ฟ้าแสนสวยที่สุดอีกชนิดหนึ่ง
โดย
dukedick
เมนูอาหารที่คนไทยค้นหาใน google มากที่สุด!
โดย
ไม่สนคำเตือน! ขับรถยนต์ลงหาดกมลา ติดหล่มล้อจมขึ้นไม่ได้
โดย
teetete
(ตอบ 6, 2Y)
นอนหลบแดดกลางไร่ รถพ่วงเร่งขนอ้อยมองไม่เห็นขับเหยียบดับ
โดย
teetete
(ตอบ 2, 2Y)
5 ประเทศที่ค่าครองชีพแพงที่สุดในโลก
โดย
อากาศเปลี่ยนแปลงบ่อย
ท่าเรือที่มีขนาดใหญ่ที่สุด ที่ตั้งอยู่ในเขตจังหวัดทางภาคเหนือของไทย
โดย
origin
(ตอบ 2, 2Y)
ยอดเขาที่สูงเป็นอันดับหนึ่ง ของประเทศในเขตภูมิภาคอาเซียน
โดย
origin
(ตอบ 3, 2Y)
5 ผักที่มีประโยชน์มากที่สุด
โดย
แมวเอาแต่นอน
5 ประเทศที่รวยที่สุดในโลก
โดย
มะม่วงแอปเปิ้ล
การเปลี่ยนแปลงของการสื่อสารในยุคดิจิทัล
โดย
kwanbaba21
< prev
1
...
837
838
839
840
841
842
843
844
845
...
3050
next >
ตั้งกระทู้ใหม่