หน้าแรก
ตรวจหวย
เว็บบอร์ด
ควิซ
Pic Post
แชร์ลิ้ง
หาเพื่อน
Chat
หาเพื่อน Line
หาเพื่อน Team
Page
อัลบั้ม
คำคม
Glitter
เกมถอดรหัสภาพ
คำนวณ
การเงิน
ราคาทองคำ
กินอะไรดี
ข้อตกลงการใช้บริการ
นโยบายความเป็นส่วนตัว
นโยบายเนื้อหา
นโยบายการสร้างรายได้
About Us
ติดต่อเว็บไซต์
แจ้งเนื้อหาไม่เหมาะสม
เว็บบอร์ด
บอร์ดต่างๆ
ค้นหา
ตั้งกระทู้
บอร์ด
สาระ เกร็ดน่ารู้
ตั้งกระทู้ใหม่
กระทู้ทั้งหมด
ตัวประหลาดที่มาตามท่อน้ำ มันคือตัวอะไร??
โดย
sairung11
(ตอบ 1, 2Y)
3อันดับประเทศที่มีคนจีนไปอาศัยอยู่มากที่สุดในโลก
โดย
คนนอนนา
(ตอบ 3, 2Y)
เด็ก 5 ขวบ ดมยาสลบ ถอนฟันน้ำนม กลับดับสลด
โดย
teetete
(ตอบ 1, 2Y)
จังหวัดเดียวที่มีน้ำตกสวยที่สุด อันดับหนึ่งของประเทศไทย
โดย
(ตอบ 4, 2Y)
มะขามลูกรัก! สุนัขจรจัดที่เพิ่งเก็บมาเลี้ยง กัดเบาะรถจยย.ไม่เหลือสิ้นดี
โดย
sairung11
(ตอบ 5, 2Y)
ผู้ประกอบการขอขึ้นราคานมกล่อง หลังปรับราคากลางรับซื้อน้ำนมโค
โดย
sairung11
(ตอบ 2, 2Y)
หัวหน้าสุดใจดี อนุมัติวันลาให้ลูกน้องไปแข่งเต้น
โดย
teetete
(ตอบ 3, 2Y)
อำเภอที่มีขนาดพื้นที่เล็กมากที่สุด ในภาคใต้ของประเทศไทย
โดย
Judsee
(ตอบ 3, 2Y)
เฉลยแล้ว! ทัพพีมีรูตรงกลาง..เอาไว้ใช้ทำอะไร ?
โดย
Mac Casanova
(ตอบ 2, 2Y)
เคล็ดลับการใช้น้ำส้มสายชูให้มีประโยชน์ มากกว่าเป็นเครื่องปรุงรส
โดย
dukedicknarak
ทึ่งทั่วโลก : น้ำตก Ban Gioc น้ำตกใหญ่อันดับ 1 ของเอเซีย และเป็นอันดับ 4 ของโลก ที่เวียตนามจ้า
โดย
dukedick
ประวัติสามเหล่าทัพ
โดย
เครียดจัด! ขโมยของแล้วถูกจับได้ คว้ามีดแทงคอตัวเอง
โดย
teetete
(ตอบ 4, 2Y)
ทองคำบางสะพานเป็นเนื้อทองคำที่ดีที่สุดในประเทศไทย
โดย
คนนอนนา
(ตอบ 3, 2Y)
หนูน้อยอายุ 2 เดือน ถูกแม่นอนทับ นอนหายใจโรยรินคาอกแม่วัย 17
โดย
sairung11
(ตอบ 4, 2Y)
แกล้งลาป่วยไปเที่ยว แต่เจอหัวหน้าบนเครื่องบิน
โดย
sairung11
(ตอบ 3, 2Y)
"มหาวิทยาลัย"🏫 แห่งแรกของประเทศไทย ที่เป็น 🪔🏮(สุสานฝังศพ) ในอดีตกาล 🏫🇹🇭
โดย
YOYO C4000 IT
(ตอบ 1, 2Y)
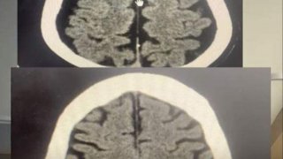
สมอง คนสูบบุหรี่วันละซอง กับ สมองยายวัย 90
โดย
teetete
(ตอบ 1, 2Y)
ประตูรั้วล้มทับเด็กหญิง วัย 3 ขวบ
โดย
teetete
(ตอบ 1, 2Y)
เราควรซื้อบ้าน หรือเช่าบ้านอยู่ ?
โดย
tonykratark
(ตอบ 2, 2Y)
< prev
1
...
921
922
923
924
925
926
927
928
929
...
3053
next >
ตั้งกระทู้ใหม่